Застряла прямо в трахее: в Одесской области подросток случайно вдохнул шпильку
Во Львове спасли подростка, который случайно вдохнул шпильку (коллаж: РБК-Украина)
В городе Белгород-Днестровский в Одесской области произошел шокирующий клинический случай. Медики провели ювелирную операцию, чтобы спасти подростка, случайно вдохнувшего острую металлическую шпильку.
Об этом сообщает РБК-Украина (проект Styler) со ссылкой на Facebook-страницу "Белгород-Днестровской городской многопрофильной больницы".
Детали случая
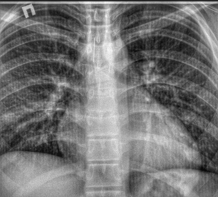
Клинический случай произошел 2 февраля. Подросток был доставлен в приемное отделение городской больницы из одного из поселков района с посторонним телом в трахеи.
Благодаря высокой квалификации дежурного хирурга и анестезиологической бригады, эндоскопическим методом было удалено инородное тело - игла длиной 4 см.
Подростку под наркозом провели бронхоскопию и достали шпильку, которая острым концом вонзилась в слизистую и никуда не двигалась.
Острый предмет мог вызвать перфорацию - пробить легкие или через стенку бронха попасть и в сердце. Последствия могли оказаться трагическими.
Сейчас пациент чувствует себя удовлетворительно и находится под контролем медицинского персонала в хирургическом отделении. Он также получает антибиотикотерапию, ведь сама шпилька не была стерильным предметом.
"Эта ювелирная работа была проведена в городской больнице благодаря современному эндоскопическому оборудованию, которое используется в городской больнице, ранее такие случаи лечились в областном центре", - говорится в сообщении.



Во Львове спасли подростка, который случайно вдохнул шпильку (фото: facebook.com/KNPBDMBL)
Ранее мы сообщали, что в Ровно мужчина 10 лет проходил с занозой в носу.
Также читайте, что в Украине в организме ребенка обнаружили ложку, которая находилась там несколько месяцев.