В Украине в теле ребенка обнаружили ложку, которая находилась там несколько месяцев (фото)
Врачи в Киеве вытащили из дыхательных путей ребенка ложку (коллаж: Styler)
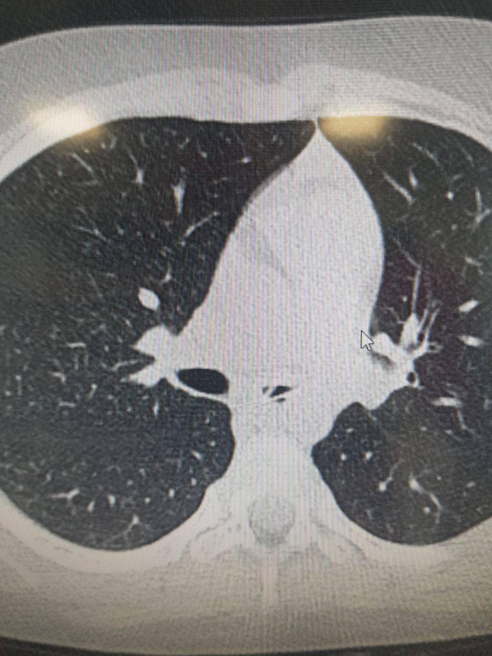
В Киеве врачи удалили игрушечную ложечку длиной 4 сантиметра с дыхательных путей 6-летней девочки. До этого ребенок в течение нескольких месяцев жаловался на кашель и затрудненное дыхание.
Об этом сообщили на странице больницы Охматдет в Facebook.
Почему долго не могли выявить проблему
Жалобы на плохое самочувствие появились у ребенка еще в марте.
Тогда родители девочки обратились в медицинское учреждение, где был поставлен диагноз обструктивный бронхит. Однако, несмотря на тщательное лечение, состояние ребенка никак не улучшалось.
В результате этого 6-летняя Яна была направлена на дополнительный осмотр в Национальную детскую специализированную больницу Охматдет.
Там врачи во время обследовании обнаружили чужеродный предмет в дыхательных путях девочки. Позже оказалось, что этим предметом была пластиковая ложечка длиной в 4 сантиметра.
"Нетипичным было размещение ложечки в левом бронхе. Ведь почти всегда посторонние предметы попадают в правую сторону. Также удивило то, что девочке 6 лет - обычно подобные случаи случаются с детьми в возрасте до 3 лет", - рассказал Сергей Руденко, заведующий отделением педиатрии.
После успешной процедуры удаления ложечки специалистами больницы, состояние Яны ощутимо улучшилось. К счастью, все прошло без серьезных осложнений.





Украинские медики вытащили из дыхательных путей ребенка ложку (фото: facebook.com/ndslohmatdyt)
Что делать, если ребенок проглотил посторонний предмет
Чаще всего дети проглатывают игрушки, пуговицы, иглы, шпильки, батарейки, кнопки, большие монеты, магниты, украшения, зубочистки и гвозди.
Признаки того, что ваш ребенок проглотил посторонний предмет:
- кашель
- затрудненное глотание и дыхание
- повышенное выделение слюны
- слюна с кровью
- отказ от еды
- срыгивание, тошнота, рвота
- жалобы на боли в животе, в груди, горле
- ухудшение общего состояния
- изменение в поведении
Если вы подозреваете, что ваш ребенок мог съесть какой-нибудь мелкий предмет, наблюдайте за состоянием ребенка в течение нескольких часов.
Однако, если вы уверены, что ваш малыш проглотил посторонний предмет, не ожидайте симптомов, а вызывайте скорую помощь.
К тому же категорически запрещено делать следующие вещи:
- не вызывайте рвоту
- не делайте клизму
- не давайте малышу препараты слабительного действия
- не пытайтесь выдавить предмет
- не пытайтесь протолкнуть предмет едой или водой
Ранее мы сообщали, что в Черкассах врачи вытащили из горла ребенка иглу.
Также мы писали, в Днепре врачи спасли необычным способом ребенка, который проглотил булавку.